
¿Sabías que los movimientos de tu bebé en el vientre pueden ser mucho más fuertes de lo que imaginas? Lo que normalmente percibimos como “pataditas tiernas” puede, en casos extremadamente raros, poner en riesgo la integridad del útero de la madre.
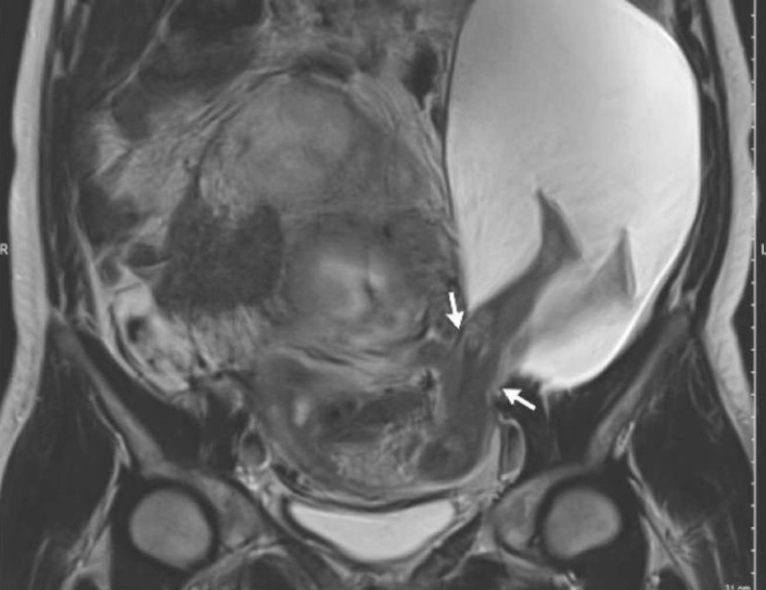
Un caso que asombró a médicos y medios ocurrió en 2017, en China. Una mujer embarazada de 35 semanas sufrió una ruptura uterina causada por una patada de su bebé. La fuerza del movimiento del feto fue suficiente para abrir una brecha de aproximadamente 7 centímetros en el útero, un hecho que parecía imposible, pero que realmente ocurrió.

La situación puso en grave riesgo la vida de la madre y del bebé. Por fortuna, gracias a la rápida intervención médica y a una cesárea de emergencia, ambos sobrevivieron. Sin embargo, este caso es un recordatorio de que el embarazo, aunque natural y cotidiano, también puede tener momentos inesperados y extremos.
¿Por qué ocurrió algo así? Resulta que la mujer había tenido una cirugía previa para extirpar un fibroma uterino. Los especialistas explican que, al no esperar el tiempo recomendado antes de concebir nuevamente, la cicatriz en el útero no estaba lo suficientemente fuerte para resistir movimientos muy bruscos del bebé, lo que terminó en la ruptura.
Aunque este tipo de situaciones son extremadamente raras, los expertos destacan que pueden suceder en casos donde el útero presenta debilidad estructural, como cicatrices de cirugías previas o anomalías congénitas. Sin embargo, la gran mayoría de los embarazos transcurren sin ningún problema grave relacionado con los movimientos fetales.

Esta curiosidad científica nos recuerda que los bebés, aunque diminutos y aparentemente frágiles, pueden ejercer fuerzas impresionantes: un estudio revela que sus pataditas pueden equivaler a varios kilos de presión. Así que esas pataditas que te hacen sonreír y sentirte más cerca de tu bebé, en casos excepcionales, podrían tener un efecto mucho más potente del que imaginamos.
En resumen: los movimientos del bebé son normales y saludables, pero si presentas dolor intenso, sangrado o cualquier síntoma fuera de lo común, siempre es recomendable acudir al médico. La prevención y la atención prenatal siguen siendo la mejor garantía para un embarazo seguro y saludable.



